Serratus anterior plane block for analgesia after lung transplant
Ge Luo1, Yuanyuan Yao1, Man Huang3, Jingyu Chen2, Lifang Zhang1, Min Yan1.
1Anesthesiology, The Second Affiliated Hospital of Zhejiang University School of Medicine, Hangzhou, People's Republic of China; 2Lung Transplantation, The Second Affiliated Hospital of Zhejiang University School of Medicine, Hangzhou, People's Republic of China; 3Intensive Care Unit, The Second Affiliated Hospital of Zhejiang University School of Medicine, Hangzhou, People's Republic of China
Background: Unilateral or bilateral anterolateral thoracotomy may lead to severe acute pain in lung transplantation (LTx). Although serratus anterior plane block (SAPB) is apparently effective for pain control after open thoracic surgery, there remains a lack of evidence for the application of SAPB for postoperative analgesia after LTx.
Objective: In this observational study, we describe the feasibility of continuous SAPB after lung transplantation and provide a preliminary investigation of its safety and efficacy.
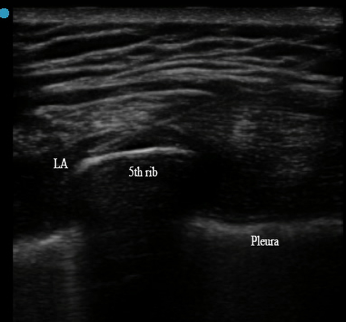
Methods: After chest incision closure was complete, all patients underwent ultrasound-guided SAPB with catheter insertion. Numerical rating scale (NRS), additional opioid consumption, time to endotracheal tube removal, ICU length of stay, and catheter-related adverse events were followed up and recorded for each patient within one week after the procedure.
Results: A total of 14 patients who received LTx at this center from August 2023 to November 2023 were included. All patients received anterolateral approaches, and 10 (71.4%) of them underwent bilateral LTx. The duration of catheter placement was 2 (2–3) days, and the Resting NRS during catheter placement was equal to or less than 4. A total of 11 patients (78.6%) were supported by extracorporeal membrane oxygenation (ECMO) in LTx, whereas 8 patients (57.1%) removed the tracheal tube on the first day after LTx. Intensive care unit (ICU) stay was 5 (3–6) days, with tracheal intubation retained for 1 (1–2) days, and only one patient was reintubated. The morphine equivalent dose (MED) in the first week after LTx was 11.95 mg, and no catheter-related adverse events were detected.
Limitations: We did not assess the sensory loss plane due to the retrospective design. In addition, differences in catheter placement time may lead to bias in pain assessment.
Conclusions: Although continuous SAPB may be a safe and effective fascial block technique for relieving acute pain after LTx, it should be confirmed by high-quality clinical studies.


[1] lung transplantation
[2] Serratus anterior plane block
[3] postoperative pain
