Paragonimiasis mimicking ureter stone in living kidney donor
Young Joo Kwon 1, Hae Sang Park1, Ji Eun Kim1, Hyo Kee Kim2, Pyoung Jae Park2.
1Division of Nephrology , Korea University , Seoul, Korea; 2Division of Trasplantation & Vascular Surgery , Korea University , Seoul, Korea
Extrapulmonary paragonimiasis mainly involve pleural, subcutaneous, cerebral, and spinal infection. Other extrapulmonary paragonimiasis has been reported in hepatic, splenic, abdominal, urinary, and gynecologic organs. We report a case of paragonimiasis mimicking ureter stone in living kidney donor.
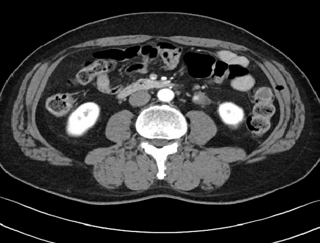
We decided kidney transplantation between the married couple. The living donor was 61 year old male, and his CT angio abdomen scan showed about 0.6 cm stone at left proximal ureter, and small size periureteral low density lesion at the left proximal ureter.
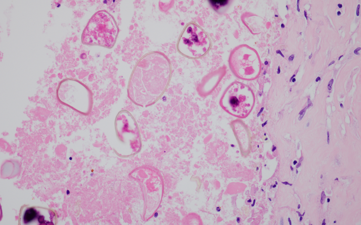
In operation, we found of a lump of soft tissue in periureter, measuring 4.5x4x2.5cm, yellowish adipose tissue-like appearance. Frozen specimen cut-surface showed cystic appearance filled with yellowish necrosis like material, and was diagnosed as parasite infection, morphologically paragonimiasis.
Donor showed positive in P. westermani Ab and Cysticercus Ab, but the 58 year old recipent showed negative. Donor had history of paragonimiasis and taking praziquantel 15 years ago. We prescribed to her praziquantel 1,800 mg for 3 days.
In post transplant three month, her serum creatinine incresed from 0.95 mg/dL to 3.0 mg/dL, after double J stent removal, and sonogram showed hydronephrosis. We decided double J stent insertion through percutaneous nephrostomy, and follwed up for eight months cautiously. Even though waiting, proximal ureter stricture was incurred, and she has been regular double J stent exchange via urethra every three to four months. In post transplant four years, her serum creatinine showed from 1.20~1.43 mg/dL.
Even if extraplumonary paragonimiasis involving ureter is very uncommon, the meticulous history taking and examination would be needed in transplantation work up.
We would better consider the divers diseases for differential diagnosis.
[1] Surgical complication
[2] Paragonimiasis
[3] Donor ureter
