BK virus associated Urothelial cancer in the background of BK polyomavirus nephropathy post renal transplantation: A case report and review of literature.
Jeethu Eapen1, Vikramraj G2, Sanjeet Roy2, Athul Thomas1, Vinoi G David1.
1Dept. of Nephrology, Christian Medical College, Vellore, India; 2Dept. of General Pathology, Christian Medical College, Vellore, India
Renal transplant recipients are at an increased risk of malignancies. Urothelial carcinoma is not an uncommon malignancy among renal transplant recipients accounting for 12-51% of all malignancies in this setting with significant regional variations. The association of BK polyoma virus(BKPyV) with urothelial cancer (UC) has been described in the past with around 40 cases of UC developing in association with BKPyV being descibed in literature so far. Histologically, it shows high-grade urothelial carcinoma (95.1%) with a high frequency of glandular differentiation and micropapillary structures (58.5%) and positive immunohistochemistry for polyomavirus large T antigen, p53 (92.9%), and p16 (100%).
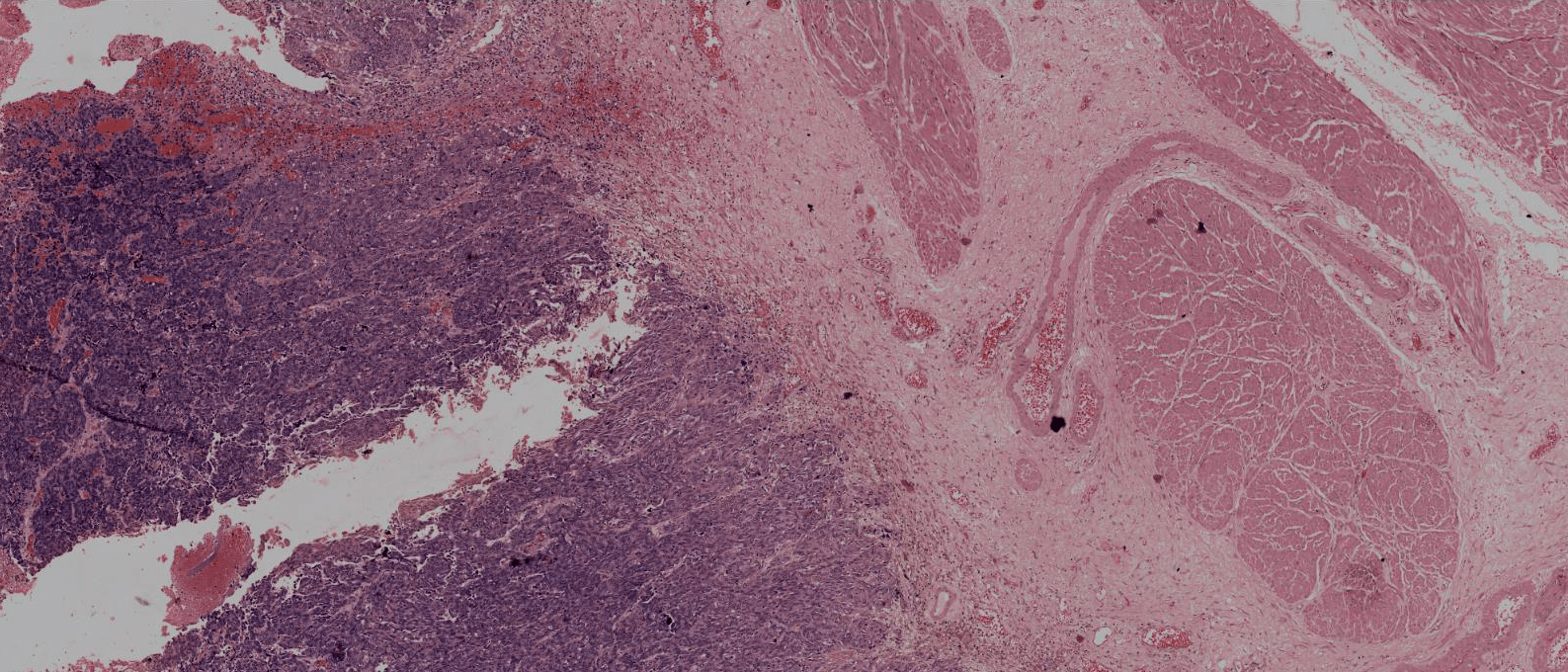
In this report we describe the case of a renal allograft recipient who presented with graft dysfunction and was diagnosed to have BK virus associated nephropathy 9 months post renal transplant. He developed progressive graft dysfunction despite reduction of immunosuppression. Forty six months post transplant he presented with gross hematuria and was diagnosed on cystoscopy guided biopsy to have an urothelial cancer of the urinary bladder. The histopathology showed high grade invasive urothelial carcinoma with focal squamous differentiation.
Immunohistochemistry for SV 40 showed diffuse positivity on the tumour cells whereas the non neoplastic urothelium did not stain for SV 40.

He underwent a radical cystoprostacteomy with ileal conduit. He had progressive renal dysfunction and he returned to dialysis in the post op period. Twenty four months post surgery he continues to be tumour free and is on maintenance hemodialysis.
Although a clear carcinogenic mechanism of BKPyV induced UC has not been elucidated multiple molecular pathways of BKPyV induced carcinogenesis have been described. In this report we describe these molecular mechanisms. In summary it is important to keep in mind that BKPyV associated UC can develop in the setting of a BKPyV associated nephropathy and careful follow-up with urine cytology and cystoscopy if needed, is necessary in such patients.We descibe one such case with review of literature.
