Expression and effect of Pbrm1 in renal ischemia-reperfusion injury
Puxun Tian1, Yang Gao1, Tian Wei1, Xingzhe Zhang1, Meng Dou1, Bingxuan Zheng1, Zejiaxin Niu1, Ge Deng1.
1Department of Kidney Transplantation, Hospital of Nephropathy, The First Affiliated Hospital of Xi’an Jiaotong University, Xi’an, People's Republic of China
Introduction: Renal ischemia reperfusion injury (IRI) is an important factor affecting the survival of transplanted kidney, while the mechanism has not been fully defined. Polybromo 1 (Pbrm1) is an important and unique subunit of the SWI/SNF chromatin remodeling complex family, which has transcriptional regulatory functions and can control the accessibility of DNA transcription. Pbrm1 plays an important role in kidney disease and the aim of this study is to investigate the expression and scientific significance of Pbrm1 in renal ischemia reperfusion injury.
Method: Renal IRI models were established in WT C57BL/6 mice, and the expression of Pbrm1 was detected by immunohistochemistry. The expression of Pbrm1 after renal IRI was analyzed with Gene Expression Omnibus (GEO) data set and its mechanism was discussed. Finally, the expression of Pbrm1 in Th17 cells was verified in vitro.
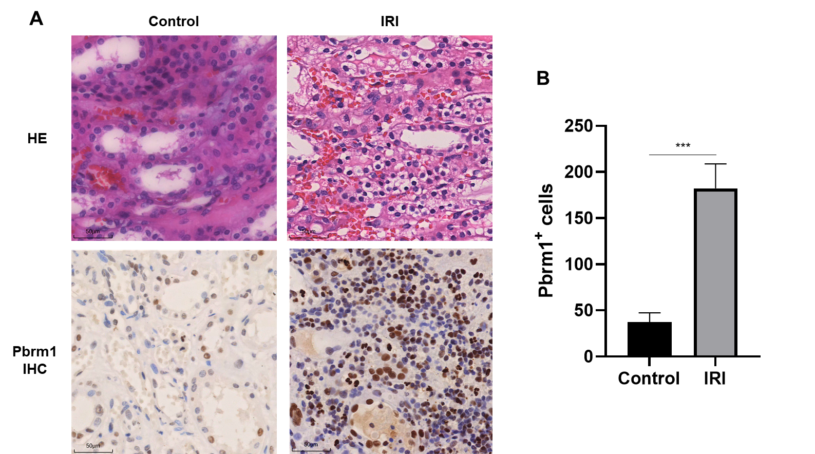
Results: Immunohistochemical staining showed that the expression of Pbrm1 in IRI group was significantly higher than that in Control. GSE180420 database analysis showed that Pbrm1 expression was significantly increased in IRI group compared with Control, and GSEA results suggested that Pbrm1 could promote the function of Th17 cells. In vitro experiments confirmed that the transcription level of Pbrm1 was significantly increased in Th17 cells compared with Th0 cells.
Conclusion: The expression of Pbrm1 was significantly increased after renal IRI transplantation. Pbrm1 may aggravate renal IRI by affecting the function of Th17 cells.


[1] kidney transplantation;ischemia reperfusion injury;Th17;Pbrm1
