PRES as a post-kidney transplant risk: Importance of blood pressure and immunosuppression management
Elvana Rista1, Vilma Cadri2, Kristi Saliaj2.
1Nephrology , International Hospital Tirana , Tirana, Albania; 2Nephrology , Mother Theresa Hospital, Tirana , Albania
Background and Aims: Posterior Reversible Encephalopathy Syndrome (PRES) is a neuro-radiological entity characterized by subcortical vasogenic edema affecting primarily the posterior cerebral hemispheres. PRES is associated with hypertensive emergencies, preeclampsia, eclampsia, autoimmune disorders, transplantation, sepsis, and immunosuppressive medications.
Close monitoring immediately after kidney transplantation is crucial and challenging due to the complexity of patients with ESRD. This clinical case highlights an uncommon complication in clinical practice.
Method: Case report
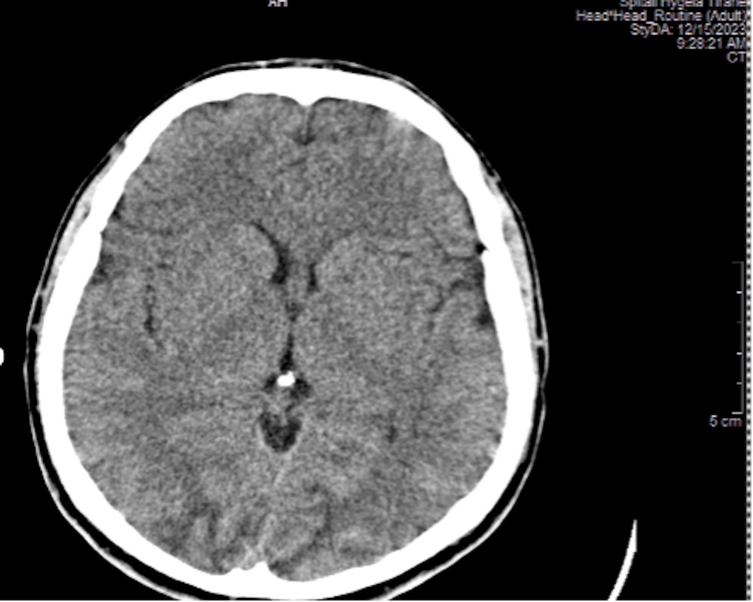
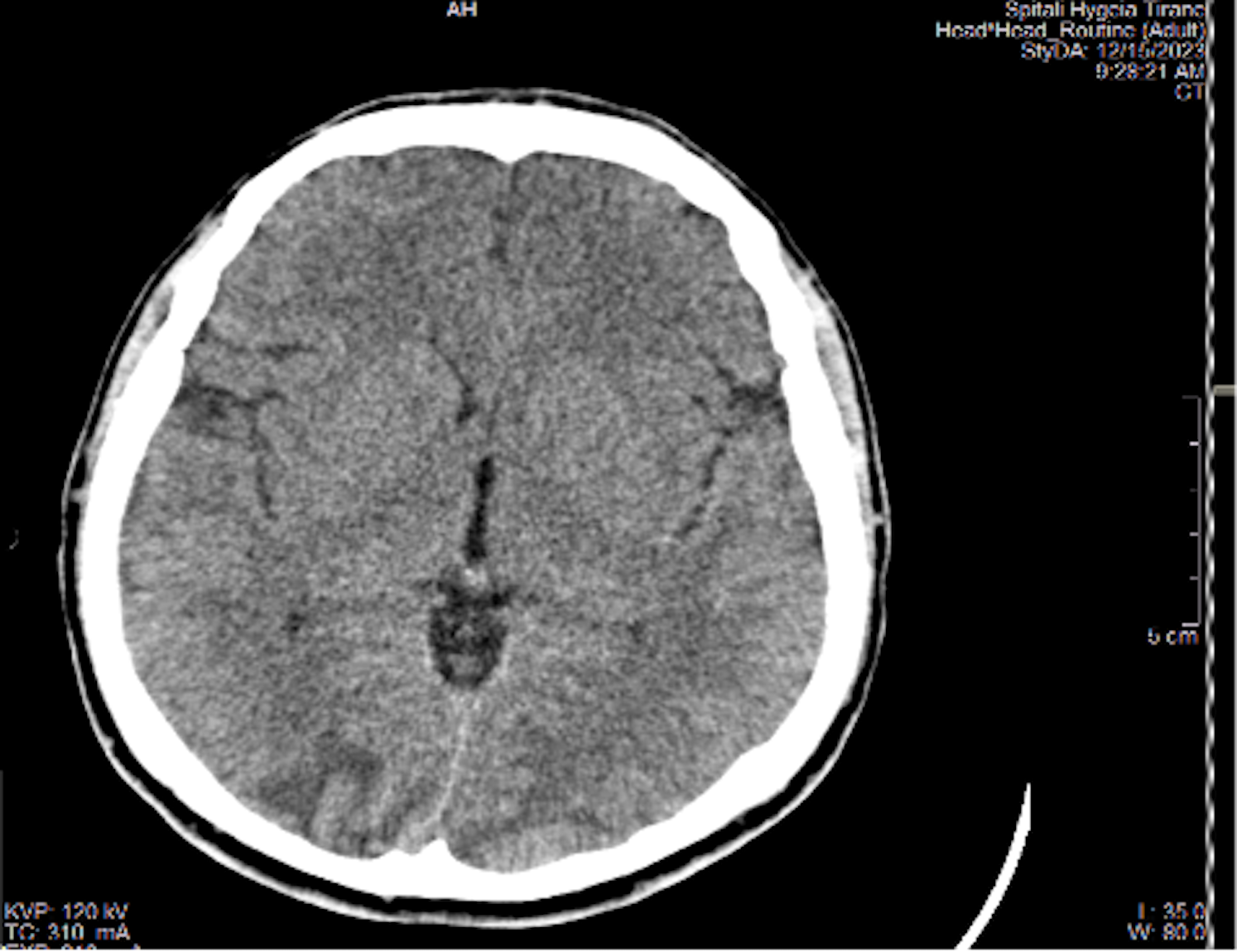
Results: A 23-year-old male patient who had been receiving dialysis for four years underwent a kidney transplant with a living donor - his mother. The primary disease leading to end-stage renal disease (ESRD) was rapidly progressing glomerulonephritis. At the time of diagnosis, he also had high blood pressure readings which remained uncontrolled during the dialysis period, complicated by left ventricular hypertrophy and hypertensive retinopathy, however, the head MRI was normal. During the last year of dialysis, the blood pressure was normalized under multidrug antihypertensive therapy, which included doxazosin, amlodipine, hydralazine, metoprolol, minoxidil, and irbesartan. Post-transplant surgery, diuresis was immediately established. Induction therapy was conducted with ATG, and maintenance therapy included tacrolimus, MMF, and prednisone. The values of creatinine and urea were decreasing. On the fifth postoperative day, the patient experienced seizures, altered mental status, headaches, and visual disturbances but no neurological deficits. His vital signs stabilized after 2-3 minutes post-seizure with the following parameters: blood pressure 150/90 mmHg, heart rate 110/minute, respiratory rate 17/minute, oxygen saturation 97%, body temperature 36.6°C, lactate level 6 mmol/L, pH 7.35, and bicarbonate (HCO3) 22 mmol/L. The neurologist recommended an urgent head CT scan, which showed Posterior Reversible Encephalopathy Syndrome (PRES). The level tacrolimus of tacrolimus was 8.6 ng/dl.
Following the confirmation of PRES, the patient was started on Levetiracetam therapy. The antihypertensive therapy was optimized to ensure tighter blood pressure management and the tacrolimus level was closely monitored with a target of 7-8 ng/ml, considering that the immunological risk was not too high.


Conclusion: This case shows that Posterior Reversible Encephalopathy Syndrome (PRES) is an uncommon but serious complication to consider after kidney transplantation, especially in patients with a history of uncontrolled blood pressure. Rigorous control of blood pressure and careful monitoring of tacrolimuslevels are essential in these patients. In cases where the risk of rejection is low, maintaining tacrolimus at the lowest safe level is advisable to ensure patient safety. Prompt recognition of PRES is essential for early treatment and improved patient outcomes.
[1] PRES
[2] Recipient
[3] Kidney transplantation
